Heart Beat Care Center|Shivdarshan Chowk,Pune

Life-Saving Cardiac Intervention by Dr. Hasmukh Gujar

Dr. Hasmukh Gujar, Consultant Interventional Cardiologist in Pune, successfully performed a timely and precise intervention that saved the life of a y...
Heart Beat Care Center|Shivdarshan Chowk,Pune

Life-Saving Angioplasty by Dr. Hasmukh Gujar in Pune

Dr. Hasmukh Gujar, Consultant Interventional Cardiologist in Pune, recently performed a life-saving angioplasty where a seemingly small artery, once t...
Heart Beat Care Center|Shivdarshan Chowk,Pune

Dr. Hasmukh Gujar Ensures Long-Term Stent Success in Elderly Patient

Dr. Hasmukh Gujar, Consultant Interventional Cardiologist in Pune, recently treated an elderly female patient whose seemingly small artery revealed a ...
Heart Beat Care Center|Shivdarshan Chowk,Pune

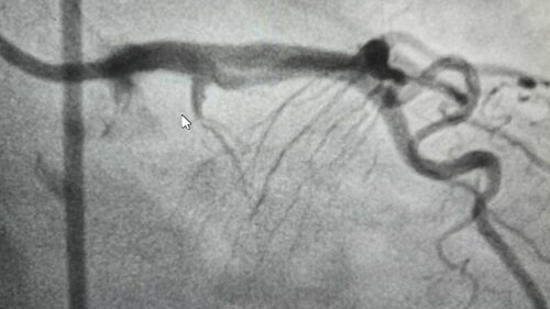
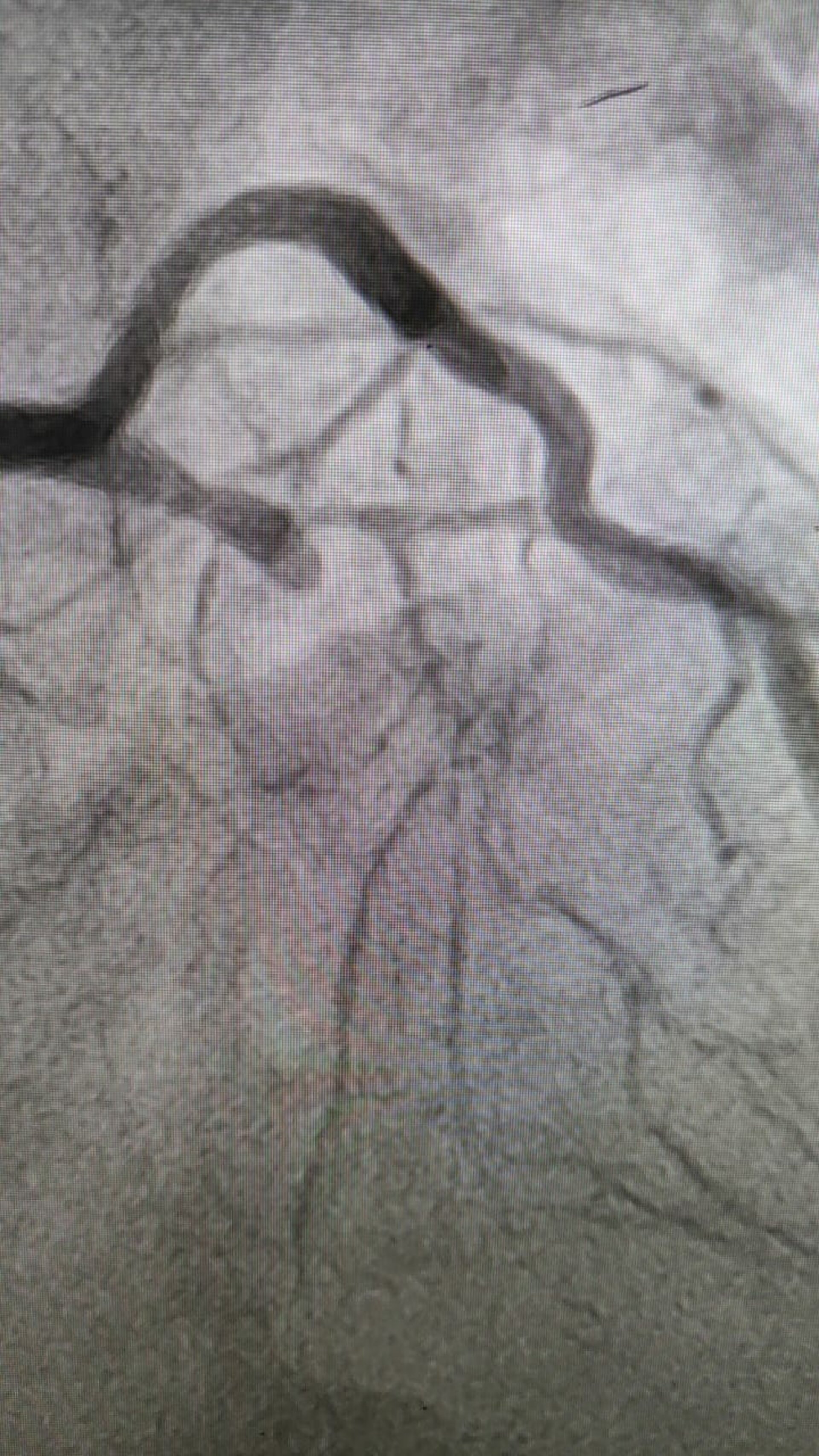
Complex LAD Angioplasty Performed by Dr. Hasmukh Gujar

Dr. Hasmukh Gujar successfully performed a complex angioplasty at Bharti Hospital, addressing a challenging case of LAD-CTO in the proximal segment. D...
Heart Beat Care Center|Shivdarshan Chowk,Pune

CME on Holistic Hypertension Management by Dr. Hasmukh Gujar

Dr. Hasmukh Gujar, a renowned cardiologist based near Swargate on Satara Road, recently conducted a Continuing Medical Education (CME) session on a ho...
Heart Beat Care Center|Shivdarshan Chowk,Pune

Success in Post-Angioplasty Case: Dr. Hasmukh Gujar's Achievement

Dr. Hasmukh Gujar, a prominent cardiologist based in Swargate, Pune, has achieved remarkable success in a recent post-angioplasty case. The patient un...
Heart Beat Care Center|Shivdarshan Chowk,Pune

Successful Rescue PCI by Dr. Hasmukh Gujar

Successfully navigating through a challenging case, Dr. Hasmukh Gujar, our esteemed Consultant Interventional Cardiologist in Pune, orchestrated a res...
Heart Beat Care Center|Shivdarshan Chowk,Pune

Success in Complex Left Main Bifurcation Angioplasty by Dr. Hasmukh Gujar, Cardiologist

Dr. Hasmukh Gujar, a skilled Cardiologist near Swargate on Satara Road, has achieved remarkable success with a complex left main bifurcation angioplas...
Heart Beat Care Center|Shivdarshan Chowk,Pune

Successful Complex Bifurcation Angioplasty by Dr. Hasmukh Gujar

Efficiently performed complex bifurcation angioplasty by Dr. Hasmukh Gujar has resulted in the patient's excellent recovery and well-being. Expert car...
Heart Beat Care Center|Shivdarshan Chowk,Pune

Complex Angioplasty - Dr Hasmukh Gujar Cardiologist

  Dr. Hasmukh Gujar, a distinguished Cardiologist in Pune, recently demonstrated exemplary skill and compassion by performing a complex angioplas...
Dr. Hasmukh Gujar delivers lecture on Heart Care to Rotary Club in Pune

Dr. Hasmukh Gujar delivers lecture on Heart Care to Rotary Club in Pune

Dr. Hasmukh Gujar, a renowned cardiologist in Pune Satara Road, recently delivered a lecture to the Rotary Club in Pune on the importance of heart car...
?
Ask Question
AboutMyClinic
SmartSite created on AboutMyClinic.com
Site-Help | Disclaimer